Heute geht es um Kolia – einen 10- jährigen sehr zurückhaltenden aber sehr charmanten Rüden. Kolia kam nach einer Femurkopfresektion auf drei Beinen hüpfend zu mir in die Praxis.
Wie es dazu kam
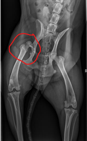
Kolia erlitt einen Sturz aus hoher Höhe und landet sehr unglücklich auf seiner Hüfte. Die Folge war eine traumatisch bedingte einseitige Femurkopfluxation, d.h. soviel wie der Oberschenkelkopf (Femurkopf) ist aus der Gelenkpfanne (Acetabulum) gesprungen. Eine eher seltene und wie man sich vorstellen kann eine sehr schmerzhafte Angelegenheit. Auf dem Röntgenbild sah das dramatischerweise dann so aus:

Man kann hier sehr gut sehen, dass der Oberschenkelkopf neben der Pfanne liegt.
Als Ursache für so eine Luxation kommt eigentlich nur äußere Gewalteinwirkung in Frage, wie dies bei Verkehrsunfällen, Stürzen aus großer Höhe wie bei Kolia oder Bewegungsunfällen der Fall ist. Der Rüde ging nach seinem Sturz sehr stark lahm und konnte fast nicht mehr laufen.
Die Luxation beruht allerdings meist weniger auf direkter traumatischer Einwirkung auf das Hüftgelenk als auf indirekten Dreh und Hebelwirkungen. Meist reißt dabei die Gelenkkapsel die das Gelenk umschließt und auch das Hüftkopfband. Als Folge ist die Gelenkpfanne mit Bandresten, Knorpel- und Knochenanteilen gefüllt, was die Reposition erschwert oder sogar verhindert. Daher ist oftmals eine Reposition des Femurkopfes in die Gelenkpfanne nicht möglich. So auch bei Kolia und die Femurkopfresektion wurde vorgenommen.
Wie sieht so eine Femurkopfresektion nun aber aus?
Der Femurkopf wird vom Ligamentum capitis femoris (Hüftkopfband) – das ist ein dünnes, dreieckiges Band, das innerhalb des Hüftgelenks durch die Gelenkkapsel zieht – der Gelenkkapsel und der umliegende Muskulatur im Acetabulum (Gelenkpfanne) gehalten. Das Acetabulum wird von allen drei Hüftknochen – Darmbein (Os ilium), Sitzbein (Os ischii) und Schambein (Os pubis) – gebildet und bildet somit die Pfanne für das Hüftgelenk. So sieht der gesunde Zustand einer Hüfte schematisch in der Grafik dargestellt aus:

Kolia wurde operiert und der Femurkopf (Oberschenkelkopf) und genau genommen auch der Femurhals (Oberschenkelhals) wurden entfernt (resektiert). Es wurde eine Femurhalskopfresektion durchgeführt und eine Kapselplastik mit kollagener Auffüllung der Hüftgelenkspfanne durchgeführt.

Die Femurkopfresektion führt zur Bildung einer bindegewebigen Verbindung zwischen Becken und Oberschenkelknochen eine sogenannte Pseudarthrose. In der Folge übernehmen die Gelenkkapsel und die Kruppenmuskulatur die Stabilisierung des Hüftgelenkes. Bei gerade größeren und schweren Rassen kann der Einsatz eines künstlichen Hüftgelenks notwendig sein. Das war bei Kolia aber zum Glück nicht der Fall. Kolia hatte nach der OP 6 Wochen strenge Leinenpflicht und kam im Anschluss der OP zur Nachsorge in meine Praxis zur Physiotherapie um ein lahmfreies Laufen zu ermöglichen. Hier war das Belasten der operierten Gliedmaße das primäres Ziel.
Wir fingen dabei mit Massage, Bewegungs-, Dehnungs und Balanceübungen an damit Kolia überhaupt anfing das operierte Bein wieder zu benutzen und nicht nur auf drei Beinen zu hüpfen.
Nachdem Kolia das Bein gut belasten konnte, arbeiteten wir daran den vollen Bewegungsumfang des Hüftgelenks und den Muskelumfang wieder herzustellen. Hierbei kamen Sitz-Stand-Übungen, Gehen, das Trampolin und das Balancepad zum Einsatz.
Durch die flexible bindegewebige Überbrückung zwischen Becken und Oberschenkelknochen kann man manchmal eine leichte Ganganomalie sehen, aber Kolia läuft heute schmerzfrei und weitestgehend lahmfrei und kann wieder mit seinen Kumpels toben.

Hinterlasse einen Kommentar